Esztétikai fogászat

"Ragyogóvá tesszük mosolyát”

Esztétikai fogászat

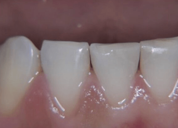
Esztétikus tömés

Az esztétikus kompozit fogtömésre (direkt restauráció) általában akkor van szükség, ha a fog valamelyik része szuvassá válik, vagy ha olyan törés éri, amit még nem szükséges komolyabb fogpótlással orvosolni. Szuvasodás esetén eleinte fehéres, barnás folt keletkezik a fog felszínén, ami később egyre kiterjedtebben károsítja a fog szöveteit. A fogszuvasodás nem visszafordítható folyamat, viszont megállítható, ezért kulcsfontosságú a korai felismerés és a kezelés mielőbbi elkezdése.

A fogszínű tömőanyagok nagyon érzékenyek a nedvességre, a fog nedves környezetében magas minőségi munka nem készíthető velük. Ezért a Forma Dental Klinikán mindig kofferdamban történnek a kezelések, amikor is egy kilyukasztott gumilepedőn bújtatjuk át a kezelni kívánt fogat, ily módon zárva ki a nedvességet.

A végeredmény szempontjából szintén nagyon fontos a felhasznált anyagok minősége. A rendelőnkben használt tömőanyagok a legjobb esztétikai, zsugorodási és kopásállósági tulajdonságokkal rendelkeznek.

A felhasznált anyagokon túl azonban a legnagyobb jelentősége a megfelelő orvosi szakmai szemléletnek van, hogy a restauráció esztétikailag és funkcionálisan valóban lemásolja az eredeti fogunk jellemzőit. Hogy a végeredmény tökéletes lehessen és az orvos figyelmét egyetlen apró részlet se kerülhesse el ezt a beavatkozást is speciális nagyító Loupéval végzik az orvosaink.

Esztétikus tömés
Esztétikus tömés

Időpontfoglalás

Kérjen időpontot az oldal alján lévő űrlap kitöltésével vagy kattintson az alábbi elérhetőségeinkre

Fogászati betét - inlay, onlay, overlay

A betétek hosszú távon jelentenek tökéletes megoldást a fogaink számára mert rendkívül pontos kontaktpontok, valamint esztétikus és valódinak ható rágófelszín alakítható ki velük. Az élettartamuk pedig jóval meghaladják a tömésekét.

A betéteknek három fajtáját különböztetjük meg kiterjedésük alapján vagyis, hogy a fog milyen hányadát és mely területeit pótolja. Ez alapján lehet inlay, onlay vagy overlay. Inlayről beszélünk, ha a pótlás csak a rágó felszínt érinti, onlayről, ha a fog egyes csücskeire is kiterjed. Overlay esetén pedig a csücskök és barázdák egészére kiterjed a pótlás. A fogászati betétnek köszönhetően a töméssel már nem helyreállítható, nagymértékben szuvas fogakat is lehet rehabilitálni anélkül, hogy további foganyagot vesztve lecsiszolnánk, majd koronával látnánk el.

A betétek a Forma Dental Klinikán helyben digitális chairside CAD/CAM technológiával készülnek. Az ily módon előállított restaurátumoknak nagyon pontos a széli záródása és az illeszkedése, ami miatt a pótlás élettartama hosszabb lesz. A CAD/CAM technológiáról bővebben itt olvashat!

Fogászati betét
Fogászati betét

Miért válasszon minket?

6 rendelő, egységes fogászati protokoll
Minőségi, modern, magas színvonalú kezelések
A klinika CT-vel rendelkezik, mert a minőségi fogászat alapja a pontos diagnosztika
Modern digitális eszközpark
Magas színvonalú sebészeti ellátást nyújtunk
Minden fogorvos nagyításban (loupe) kezel, ami a minőségi fogászati ellátás alappillére
Állapotfelmérést követően kezelési és költségtervet készítünk
Hosszú nyitvatartás: 8.00h-21.00h

Héj

A fogaink egészségén túl egyre többen figyelünk a fogaink szépségére, az esztétikus mosolyunkra is. Tagadhatatlan, hogy ha szépek a fogaink, szép a moolyunk is, amitől mi magunk is megszépülünk.Legyen szó gyökérkezelt, sérült vagy csak természeténél fogva rosszul nőtt, egyenetlen felszínű vagy alakú fogról, a magas esztétikai igényt is kielégítő fogászati héjakkal ezeken igen könnyű változtatni.

hej
hej

Időpontfoglalás

Kérjen időpontot az oldal alján lévő űrlap kitöltésével vagy kattintson az alábbi elérhetőségeinkre

Áraink

Tömés (Kofferdam izolálásban) 30 000 - 50 000 Ft
Emax betét (Kofferdam izolálásban) 120 000 Ft
Cirkon korona 130 000 Ft
Préskerámia korona 130 000 Ft
Héj 170 000 Ft

Miért jobb a betét a korona vagy tömés helyett?

A fogászati betétek segítségével akár 15-20 évre tartósan helyre lehet állítani a szuvas fogakat, amelyek így esztétikusak és nagy rágó stabilitásúak lesznek.

A fogászati betétnek köszönhetően a töméssel már nem helyreállítható, nagymértékben szuvas fogakat is lehet rehabilitálni anélkül, hogy további foganyagot vesztve lecsiszolnánk, majd koronával látnánk el.

A betéteket digitálisan tervezzük a Klinikánkon, így teljes mértékben egyediek, pontosak lesznek.

3D digitális szkenner segítségével digitális lenyomatot veszünk a páciens fogazatáról, amiről egy szoftver háromdimenziós modellt készít. Ezt követően egy tervező program megtervezi a betétet, majd egy számítógép vezérelt fogászati marógép néhány mikron pontossággal kifaragja a digitális tervet. Ezután esztétikai utómunka következik, hogy minél élethűbbé tegyük a pótlást. Végezetül az elkészült fogművet beragasztja a fogorvos a páciens szájába.

Az ily módon előállított betéteknek nagyon pontos a széli záródása és az illeszkedése, ami miatt a pótlás élettartama hosszabb lesz mint egy tömésé.

Milyen anyag az E-max, amiből a betéteket és koronákat készítjük?

Az E-max egy lítium-diszilikát alapú préskerámia az Ivoclar Vivadent fejlesztése. Préskerámiát más gyártók is készítenek, de azok sem esztétikában, sem strapabírásban nem veszik fel vele a versenyt.

Nem véletlen, hogy rendelőnkben is elérhető ez az innováció.

Remek a fényáteresztő képessége, ami a természetes hatás egyik feltétele. Nem csoda, hogy egyedülállóan esztétikus, élethű és harmonikus hatású megoldásokat lehet vele készíteni.
Esztétikai értékei mellett az is fontos, hogy tartós, ellenálló, kevéssé sérülékeny, így hosszú távra nyújt megoldást. Jelenleg ez az egyik legerősebb szájban alkalmazott fogászati kerámia.
Mivel színtiszta kerámia, allergiás reakciót, érzékenységet nem okoz.