Teljes száj implantációs rehabilitációja All-on-4 technológiával
84 éves férfi páciens azzal a kéréssel érkezett klinikánkra, hogy az alsó, teljes lemezes kivehető pótlása helyett valamilyen fix rögzített megoldást szeretne, mert a jelenlegi pótlása esztétikailag és funkcionálisan sem kielégítő számára. Beszéd közbe mozog a szájában, és nagyon rég nem tudott egy jóízűt enni vele.
Ez a szituáció sajnos nem egyedüli. Sokan küzdenek hasonló problémával a kivehető pótlásuk miatt.
A Forma Dental Klinikán célunk, hogy a legjobb tudásunk szerint és a legmodernebb technikák segítségével visszaadjuk a beszéd és a rágás örömét, és azt, hogy a pácienseink újra bátran mosolyoghassanak.
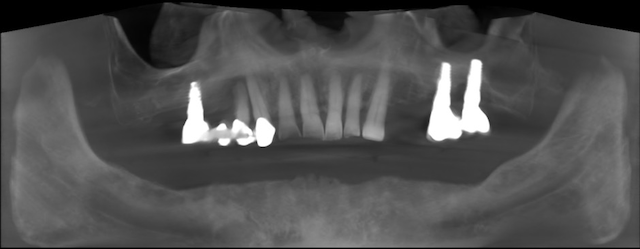
A pácienssel való első találkozás alkalmával 3D CBCT segítségével sikerült tökéletes diagnózist felállítani, amely meghatározta a kezelési tervet is. Az alsó állcsont helyreállításához az All-on-4 technikát alkalmaztuk.

A műtét alatt 4 db Nobel Biocare implantátumot helyeztünk be az alsó állcsontba. A gyógyulási idő lerövidítése érdekében a pácienstől vért vettünk, amiből PRF technológia segítségével vérlemezkékben gazdag frakciót nyertünk ki. Ezt a műtéti területre helyeztük annak zárása előtt. Ez a vérlemezkékben gazdag fibrinháló rengeteg növekedési faktort, fehérvérsejtet és citokint tartalmaz, amely nagymértékben hozzájárul a fájdalommentes és gyors gyógyuláshoz.

Miután az implantátumok bekerültek az alsó állcsontba, lenyomatot vettünk azok pozíciójáról.
Másnap egy fix, az implantátumokhoz csavarozható ideiglenes hidat helyeztünk be a páciens szájába. A fix ideiglenes híd az implantátumok csontosodásának befejeztéig (4-6 hónap) marad szájban. A híd az egyik oldal első nagyőrlő fogától, a másik oldali nagyőrlő fogig tart, amellyel a műtétet követően óvatosan szabad csak enni. Pár hét elteltével azonban már teljes értékűen lehet használni.
Az alkalmazott PRF technikának köszönhetően a műtét másnapján mosolyogva fájdalom és duzzanat mentesen érkezett a páciens a kontrolla, amely számunkra a legnagyobb siker.
A páciens felbátorodva az alsó állcsonton történt beavatkozás sikerén kérte a sokkal komplexebb felső állcsont ellátását is.
A felső állcsont esetében nagymértékű gyulladások voltak a korábbi rossz pozícióban behelyezett implantátumok és fogak körül. A helyzetet tovább nehezítette az előrehaladott fogágybetegség (parodontózis) is, amely következtében a fogak meglazultak, és már nem voltak hosszú távon szájban tarthatóak.

Ezek tudatában a teljes szanálás mellett döntöttünk és hasonló All-on-4 technológiát alkalmaztunk. A felső állcsont esetében 6 implantátumot helyeztünk be. Ebben az esetben is nagy mennyiségű PRF membránt használtunk fel a műtét során.

Ebben az esetben is nagy mennyiségű PRF membránt használtunk fel a műtét során.
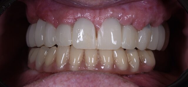
Az implantátumok csontosodása után készül el a végleges fix, csavarozható, cirkon-kerámia hídpótlás. A csavarozható pótlások előnye, hogy bármilyen sérülés esetén a pótlás könnyen eltávolítható és javítható, nem kell levágni és újra elkészíteni. Ezáltal ez egy sokkal költséghatékonyabb megoldás.
Ezen kezelések eredményeként 1 hét leforgása alatt egy kedves páciensünk életét tudtuk jobbá tenni. Újra tud bátran mosolyogni és jóízűen enni és a beszéde is könnyebb és érthetőbb.